CTブログ第4回 ~黄疸の診断~
2023.05.13
今回は、治療の判断にCTが活躍した2症例を紹介します。
1症例目

ココアちゃん チワワ 9歳
突然の複数回の嘔吐、元気喪失という主訴で来院されました。
各種検査の結果、黄疸があり、また、お腹の中で出血を起こしていることが分かりました。
しかし、レントゲンや超音波検査では、どこからの出血なのかが明確には判断できませんでした。
原因が分からなければ、治療方針は立てられません。
そこで、より詳細に調べるためにCT検査を実施しました。


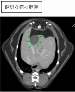
ココアちゃんの胆嚢は、健康な犬と比べてかなり白く写っていることが分かります。
胆嚢内部で胆汁が固まってしまっていたり、炎症を起こして腫れているときに白く見えるようになります。


健康な犬の総胆管(胆汁が流れる管)は約1mmなのに対して、ココアちゃんの総胆管は胆汁の詰まりによって6mm以上に拡張してしまっているのが分かります。
CT検査の結果、胆嚢粘液嚢腫(胆嚢粘液嚢腫についてはこちら)または胆嚢炎によって総胆管が塞っていることが分かりました。管が塞がり胆汁が詰まると、黄疸が起こります。おそらく出血も胆嚢から起こっている可能性があり、内科治療(点滴や注射)で改善がない場合は、胆嚢を摘出する手術が必要な状況です。
入院で内科治療を試みましたが、翌日になってもココアちゃんの体調は回復してこなかったため、緊急手術で胆嚢を摘出しました。
(閲覧注意)

摘出した胆嚢を病理検査に提出した結果、やはり慢性胆嚢炎による胆嚢からの出血という診断でした。
この場合は手術を行わなければ、総胆管の詰まりが解消されなかったり、出血を繰り返したりしてしまう恐れがあります。
ココアちゃんは無事手術を乗り越え、元気に退院することができました。
2症例目

棉花糖ちゃん ヒマラヤン 8歳
1週間前から元気と食欲がないとのことで他院で治療をしていたが改善がなく、原因が分からないままのため、CT検査を希望され当院へご紹介いただきました。
メンカトウちゃんも重度に黄疸していました。
超音波検査にて、胆嚢の炎症がありそうなこと、総胆管が塞がって腫れていることが分かりました。
しかし、ここまでの検査では、ココアちゃんのように手術が必要な状態なのか、このまま内科治療で改善が望めるのか判断がつきません。
さらなる診断のため、CT検査を行いました。


棉花糖ちゃんの胆嚢は壁が腫れているため白く目立っており、さらに胆嚢から肝臓へ続く管がすべて拡張して蛇行しています。


健康な猫ちゃんの膵臓ははっきりとして白い実質なのに比べ、棉花糖ちゃんでは膵臓のまわりにモヤモヤとした「毛羽立ち」のようなものが見えます。これは膵臓に激しい炎症や壊死が起こった場合に認められます。
CT検査の結果、膵炎による総胆管の閉塞が疑われました。
膵炎が起こると膵臓が腫れてしまい、膵臓の近くにある総胆管の出口を塞いでしまいます。結果として胆汁が詰まり、黄疸が起こります。
この場合は手術ではなく、膵炎の治療を内科的に行い、炎症を引かせることで改善が望めます。
膵炎の治療は時間がかかることが多く、棉花糖ちゃんも2週間ほど入院しましたが、元気に退院することができました。
以上のように、「黄疸」という同じ状態でも、原因によって治療法が大きく変わってきます。
手術が必要なのかそうでないのか、CT検査を行うことでより早く正確に判断することができます。
気になることがあれば、お気軽に獣医師にご相談くださいね。
☞CTについてはこちらのページをご覧ください。
獣医師 石田






