
診療案内
画像診断・CT検査
CT(Computed Tomography:コンピュータ断層撮影)とは、X線装置が体の周囲を回りながら360°から連続撮影することで体の断面図を得ることができる機械です。通常のレントゲンは一方向から撮影して二次元的な平面の画像であることに対して、CTでは三次元的に解析できるため、より詳細な情報を得ることができます。
当院に導入されたのは80列マルチスライスCT(キャノンメディカルシステムズ社製)という装置です。「80列」というのはX線装置が体の周囲を1回転する毎に撮影できる範囲を表します。この装置はわずか0.5秒で体長の40cm分ものデータを得ることができるため、非常に短時間で高画質・低被曝な検査が可能です。
レントゲン、超音波などの画像検査機器を所有している動物病院は多いですが、CTがある病院はまだまだ少ないです。その中でも、動物に負担の少ない80列マルチスライスCTは獣医業界では最先端のものとなります。
CT検査の強み
小さな病変の見逃しが少ない
高画質で立体的に見ることで、レントゲンや超音波検査では分からない病態の診断や、構造が複雑な部位の細かい評価が可能です。
体の断層像に加え立体3D画像の作成が可能
事前に病変部位やその周囲の臓器との関係性を把握することで、より正確で安全な外科手術につながります。
また、ご家族へお話しする際に、白黒を見るより病変のイメージがしやすいという利点があります。
CT検査のデメリット
基本的に全身麻酔が必要
人間は指示に従い、じっとして息を止めておくことができますが、動物はそういうわけにはいきません。正確な診断のため、画像がぶれてしまわないように全身麻酔をかけて検査を行います。
※高速スキャンが可能なため、動物の状態によっては獣医師の判断で無麻酔検査を行う場合もあります。ご相談ください。
脳や脊髄などの検査には不向き
脳や脊髄は骨に囲まれているため、CT検査では正確に描出することができません。
そのため、神経疾患の多くは確定診断のためにMRI検査も追加で必要になります。
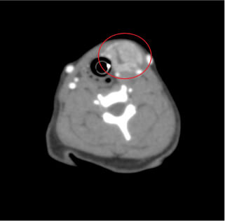
適応症例
-
- 頭部
- 水頭症、耳道疾患、
歯科疾患、鼻腔内疾患、
意識障害
-
- 胸部
- 腫瘍(肺・腫瘍の肺転移)
肺葉捻転
-
- 腹部
- 各臓器の腫瘍、
門脈体循環シャント、
結石、消化管内異物、
重積・捻転、腸閉塞
-
椎間板ヘルニア
-
骨折・脱臼・外傷など
読影について
CT画像の読影(画像の判断)には専門知識が必要です。 当院では、細かい評価が必要な場合には、CT検査のスペシャリストである奈良動物二次診療クリニックの米地謙介院長に読影を依頼しております。専門家と連携をとり、正確な診断によってより質の高い獣医療を皆様に提供できるよう取り組んで参ります。
ホームページ:http://web1.kcn.jp/narc/index.htmlCT検査は完全予約制となります。
事前にご相談ください。



